四环素牙是一种由四环素族药物引起的色素牙,是四环毒进入人体后在牙齿、骨骼等部分沉积造成的,会影响到牙釉质的生成。四环素牙虽然不会影响到健康,但是极不美观,只能通过美容的手段来改善。

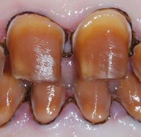
四环素牙的表现
1、牙体呈黄色:呈现明亮的黄色,以后逐渐有黄色变成棕褐色或深灰色;
2、前牙比后牙着色明显:乳牙着色比恒牙明显,因为乳牙的釉质比较薄,比较透明,不容易遮盖牙本质中四环素结合物的颜色;
3、牙着色程度与四环素的种类、剂量和给药次数有关。

四环素牙怎么修复?
目前,四环素牙的治疗方法主要有四种,即冷光美白、美容冠修复、瓷贴面修复和全瓷冠修复。
1、冷光美白
对于牙着色较轻,不伴有釉质发育不全的患者,可以采用冷光美白疗法,通过冷光将药物渗透到牙齿组织中,达到美白牙齿的效果。
2、美容冠修复
四环素牙的牙冠修复治疗适用于所有四环素牙,遮色效果佳。但需磨除较多的牙体组织,可能引起牙髓炎症。有些牙医认为要避免牙髓炎可能,在冠修复前应先将活髓牙变为无髓牙。冠修复目前一般采用的是烤瓷牙冠,其修复后色泽逼真。

3、瓷贴面修复
四环素牙的贴面治疗可适用于釉质发育不全者,但对于四环素着色严重的牙齿,效果不佳。该治疗需磨除少量牙釉质,在牙表面贴树脂、烤瓷等材料,制作要求较高,形态、色泽较佳,是非常流行的修复方法。
4、全瓷冠修复
全瓷冠不含有金属层,是由陶瓷切削炼制而成,因此显得更加自然、美观,修复后拥有像真牙一样的色泽。
四环素牙对牙齿的美容性影响非常大,会影响到孩子的心理成长,所以一定要及时处理。无论选择哪种方法治疗四环素牙,都选择正规的医疗机构,找经验丰富的医生进行,才能做到彻底修复,获得健康美牙。
麦特登国际连锁口腔
致力于提供国际水准的口腔诊疗服务
温馨舒适的治疗环境,经验丰富的专家团队,国际前沿的设备保障
是国内“舒适牙科”的新典范。





2021-05-26 10:36
来源:麦特登口腔





















