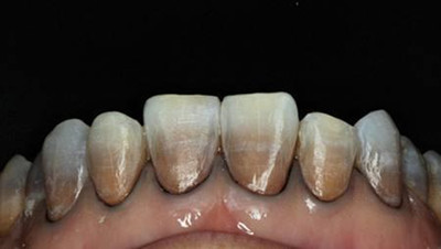
四环素牙是在牙齿发育期间,服用了较多的四环素族药物引起。四环素结合到牙组织内,使牙着色呈黄色,影响牙齿的美观度。那么患了四环素牙怎么办?有哪些方法可以解决呢?

1、超声波洁牙
对于轻度四环素牙可以采用超声波洁牙的方式来去除。色素只是停留在牙齿表面,没有沉积到牙釉质中,超声波洁牙能获得理想的效果,还可以清除牙结石、牙菌斑等牙齿问题,使牙齿更健康。
2、皓齿美白
对于牙着色较轻或较严重,不伴有釉质发育不全的患者,可以采用皓齿美白技术。在专用牙龈、牙体防护系统的保护下,使经过特殊光学处理的纳米光催化牙体活化剂上,在牙体表层建立美白作用通道,美白成分直接作用于牙体,通过氧化还原作用将牙体内的浅、中、深层所残留色素清除;通过氟化作用,促使牙釉质新生,封闭牙本质小管和牙釉质微孔。不改变牙齿结构的情况下,能产生美白作用。

3、瓷贴面
对于釉质发育不全的患者,可以采用瓷贴面技术。在治理时需磨除少量牙釉质,在牙表面贴树脂、烤瓷等材料,制作要求较高,形态、色泽较佳,对医生的技术和审美要求非常高,最好到正规医院,选择经验丰富的专家进行。
4、3D美容冠
3D美容冠适用于所有四环素牙,遮色效果非常好。3D美容冠不仅可以解决四环素牙的痛苦,而且能够全方位、立体式的解决任何口腔问题,特别是歪斜牙、龅牙、畸形牙等牙口问题都有很好的解决效果,是治疗四环素牙,解决牙齿不美观的主要方法。
不论选择哪种方式,需要根据自身的实际情况来选择。值得注意的是四环素牙不仅会影响到牙齿美观,不及时治疗还会引发各种口腔疾病,千万不能忽视,及时就诊,及时解决,才能拥有健康口腔。
麦特登国际连锁口腔
致力于提供国际水准的口腔诊疗服务
温馨舒适的治疗环境,经验丰富的专家团队,国际前沿的设备保障
必将塑造国内“舒适牙科”新典范。





2021-03-30 10:11
来源:麦特登口腔





















